Call us today!
(416) 481-7887

10 Common Brushing Mistakes to Avoid and How to Fix Them

A Complete Guide from Midtown Dental Studio (Toronto)

Introduction

Brushing your teeth is something you’ve done your entire life, so it’s easy to assume you’re doing it correctly. But many people make small brushing mistakes every day that slowly damage their enamel, irritate their gums, and increase the risk of cavities and gum disease.

At Midtown Dental Studio, we see these issues all the time during hygiene appointments. The good news? Most brushing mistakes are easy to fix once you know what to avoid.

Below are the 10 most common brushing mistakes, why they’re harmful, and the proper technique recommended by dental professionals.

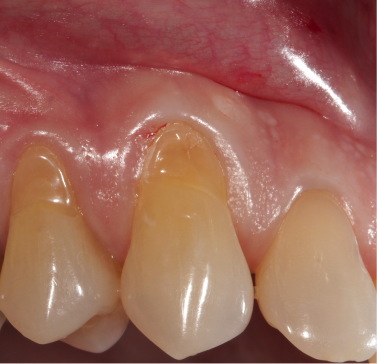
1. Brushing Too Hard

Brushing too hard image 1 Brushing too hard image 2

Many people believe that brushing harder means brushing better, but the opposite is true. When you apply too much pressure, the toothbrush bristles turn into tiny “sandpaper scrapers” that wear away your tooth structure.

What brushing too hard can cause:

  • Gum recession – gums pull down or up, exposing the roots
  • Enamel abrasion – V-shaped notches near the gumline
  • Tooth sensitivity – especially to cold
  • Increased risk of cavities on exposed roots

Hard brushing is one of the top reasons people develop sensitivity in their 20s–40s.

How to fix brushing too hard:

  • Use a gentle grip (like holding a pen) and let the toothbrush do the work.
  • If you use an electric toothbrush, don’t “scrub” — just guide it.

2. Using the Wrong Toothbrush (Medium/Hard Bristles)

Using the wrong toothbrush

Hard or medium-bristle brushes used to be common, but research clearly shows they can wear down enamel and damage your gums.

The best choice today? Ideally an electric toothbrush. A soft-bristle toothbrush is also good.

Electric brushes:

  • Provide consistent, gentle pressure
  • Remove plaque more effectively
  • Reduce your risk of gum recession
  • Help you avoid “scrubbing” too aggressively

If you prefer manual, stick with soft or ultra-soft bristles only.

3. Brushing Right After Eating

When you eat acidic foods (citrus, tomatoes, soda, wine, vinegar, berries), your enamel becomes temporarily softened. Brushing right after can push acid deeper into the enamel, causing erosion.

Foods/drinks to be careful with:

  • Lemon water
  • Balsamic vinegar
  • Citrus fruits
  • Wine
  • Soda / sparkling water
  • Apples & berries

What to do instead: Wait 20–30 minutes before brushing. Rinse with water right after eating to neutralize acids.

4. Not Brushing Long Enough

Most people brush for 30–45 seconds — less than half of the recommended time. Two minutes is the gold standard because it ensures:

  • Proper plaque removal
  • Every surface is cleaned
  • Gumline gets the attention it needs

Pro tip: Use an electric brush with a built-in timer or play a 2-minute song.

5. Ignoring the Gumline

Ignoring the gumline image 1 Ignoring the gumline image 2

The gumline is the area where plaque and bacteria accumulate the most, and it’s the #1 place people miss. If plaque stays here too long, it leads to:

  • Gingivitis
  • Bleeding gums
  • Bad breath
  • Early periodontal disease

Correct technique: Hold your toothbrush at a 45° angle toward the gums and gently sweep:

  • Downward for upper teeth
  • Upward for lower teeth

Use small circular motions to disrupt plaque. You’re not just brushing the teeth — you’re brushing the junction between the teeth and gums.

6. Using a Worn-Out Toothbrush

Once bristles bend outward, they can no longer effectively clean your teeth — especially around the gumline.

A worn brush:

  • Misses plaque
  • Irritates gums
  • Can harbor bacteria

Replace your toothbrush or brush head:

  • Every 3 months
  • After a cold or flu
  • When bristles start to fray

Electric toothbrush heads also require regular replacement to stay effective.

7. Brushing Only the Front or “Visible” Teeth

It’s easy to focus on the teeth you see when you smile, but neglecting the inner surfaces, back molars, and tongue-side of front teeth allows plaque to build up in the areas most prone to cavities and tartar.

Make sure you brush:

  • Inside of lower front teeth
  • Furthest back molars
  • Inner and outer surfaces of every tooth

8. Skipping Your Tongue

Your tongue traps food debris and bacteria in hundreds of microscopic grooves. If you skip it, you may experience bad breath, a coated tongue, and persistent taste issues.

Solution: Use your toothbrush or a tongue scraper and clean from back to front. This removes bacteria responsible for odor and improves freshness.

9. Brushing With a Scrubbing, Horizontal Motion

Brushing your teeth like you’re cleaning a countertop doesn’t work — and actually leads to more harm than good.

Horizontal scrubbing:

  • Wears enamel down
  • Contributes to recession
  • Misses areas between teeth
  • Creates toothbrush abrasion notches

Best method: Big circular motions on outer surfaces, and vertical sweeps on inner surfaces. Think gentle and controlled, not rough or rushed.

10. Avoiding Fluoride Toothpaste

Fluoride is one of the most researched and proven materials in dentistry. It helps:

  • Strengthen enamel
  • Remineralize early decay
  • Reduce sensitivity
  • Prevent cavities

Skipping it removes a powerful layer of protection — especially important in a city like Toronto, where diet and lifestyle are high in acids and sugar.

Choose a toothpaste that contains:

  • Fluoride
  • Low abrasiveness
  • No harsh whitening grit that can scratch enamel

So… What Is the Correct Brushing Technique?

Correct brushing technique 1 Correct brushing technique 2 Correct brushing technique 3

Here’s the dentist & hygienist approved method we teach patients at Midtown Dental Studio:

  • Use a soft-bristle brush (electric preferred)
  • Angle 45° toward your gums
  • Brush for 2 minutes
  • Use gentle circles — not scrubbing
  • Brush from the gum → down/up
  • Brush every surface
  • Clean your tongue
  • Floss daily (your toothbrush can’t reach between teeth)

Following this method helps reduce gum inflammation, prevent enamel wear, and maintain a fresh, healthy smile.

Book a Hygiene Appointment in Midtown Toronto (Yonge & Eglinton)

If you’re unsure about your brushing technique, our hygienists and dentists can show you exactly what to improve personalized for your mouth, gum health, and enamel condition.

📍 Midtown Dental Studio — Yonge & Eglinton

💻 www.midtowndentalstudio.ca

📞 416-481-7887

BOOK HERE

Properly aligned teeth not only give you a beautiful smile, but they can significantly improve your overall dental health.

(416) 481-7887